إنّ المقصود بـ تراكم السوائل في تجويف الرئة هو: تجمع للماء والسوائل في الرئة وقد أطلق العلماء على هذه الحالة اسم الوذمة الرئوية – Pulmonary Edema وفي حالة إصابة الإنسان بها لا يستطيع أن يحصل الجسم على ما يحتاج من أوكسجين، ويصاحب حدوث هذا؛ حالة مرضية لها الكثير من التفاصيل الهامة، وسوف نُلقي الضوء على كافة المعلومات المتعلقة بهذا الموضوع.
ما هو المقصود بـ تراكم السوائل في تجويف الرئة

قبل التطرق إلى موضوع تراكم السوائل في تجويف الرئة، لابد وأن نُلقي الضوء على عدة نقاط هامة، وهي:-
آلية عملية التنفس في جسم الإنسان
تُعتبر عملية التنفس والشم وغيرها من العمليات الأخرى الهامة لدى الإنسان هي أدق العمليات الحيوية التي تحدث داخل الجسد؛ إذ أن أعضاء الجسم تحصل على ما يكفيها من طاقة، من أجل القيام بوظائفها الحيوية والتخلص من ثاني أكسيد الكربون، وقد رصدت الأبحاث العلمية تفاصيل هذه العملية الهامة والمعقدة، ولكن قبل سردها علينا التعرف على الأعضاء الرئيسية لجهاز التنفس.
أعضاء الجهاز التنفسي لدى الإنسان
يتكون جهاز التنفس لدى الإنسان من:-
أ – جهاز تنفسي علوي – Upper Respiratory Tract ويضم:
- الأنف – Nose .
- الفم – .
- الجيوب الأنفية.
- الحلق.
- بداية القصبة الهوائية
ب – جهاز تنفسي سفلي – Lower Respiratory Tract ويضم:
- شُعب هوائية.
- رئتين.
- تجويف الصدر.
وظائف الجهاز التنفسي في جسم الإنسان
- عملية التنفس، والتي تشمل الحصول على الأكسجين والتخلص من ثاني أكسيد الكربون.
- الشم.
- حفظ توازن الحمض والقاعدة – Acid – Base Balance.
- الترشيح والتدمير للصمات – Emboli.
- تعزيز عمل مواد نشطة – Prostaglandin.
- حماية جهاز تنفس المجاري الهوائية الضعيفة، وذلك عن طريق القيام بتنقية و ترطيب وتدفئة الهواء الداخل له.
- القدرة على إصدار صوت.
وما يهمنا هنا هي عملية التنفس وطريقة حدوثها، لأن بدونها لا يستطيع الإنسان أن يبقى على قيد الحياة.
كيف تحدث عملية التنفس لدى الإنسان

يُعد جهاز التنفس هو المسؤول الأول والأخير عن تنفس الإنسان، والتي يتم خلالها عملية التبادل للغازات، فيتم توصيل الأكسجين إلى جهاز وعائي هو الذي يقوم بتوصيله إلى كافة أعضاء الجسم، فضلًا عن أخذ غاز ثاني أكسيد الكربون من كل الجسم وإخراجه منه، ويحدث هذا من خلال مراحل ثابتة ودقيقة، تُسمى الشهيق والزفير، وهي عملية لا إرادية تحدث لكل إنسان حي.
المرحلة الأولى من التنفس – يمر الهواء إلى الجسم، إما من الأنف التي تقوم بترطيب وتدفئة الهواء وتنقيته، من خلال الشعر الموجود بها وكذلك الأغشية المُخاطية أو الفم في حالة إنسداد الأنف، عابرًا الحلق والحنجرة، حتى يصل للقصبة الهوائية، ويتسع الصدر عند دخول الهواء.
جدران هذه الحويصلات الهوائية رقيقة لكي يستطيع الأكسجين وثاني أكسيد الكربون العبور خلالها للدخول إلى الدم أو الخروج منه، ينقل الدم الأكسجين إلى جميع أجزاء الجسم تقريبًا، وكذلك يحمل الدم ثاني أكسيد الكربون إلى الرئتين في رحلة العودة.
المرحلة الثانية من التنفس – يصل الهواء في هذه المرحلة إلى القصبة الهوائية التي تنقسم إلى شعبتين، وكل واحدة منهم تُغذي رئة من الرئتين.
المرحلة الثالثة لتنفس الإنسان – وتقسم هذه الشعب الهوائية إلى قصيبات أو شعيبات – Bronchioles عددهم بالملايين، وتنتهي بـ حويصلات هوائية -Alveoli تُعد بالملايين، وهي التي تقوم وبكل دقة بعملية التبادل للغازات، وبهذا يعبر الهواء من وإلى الدم.
المرحلة الرابعة من التنفس – في حالة دخول الأكسجين إلى الدم، يعود مرة أخرى للرئة حاملًا معه ثاني أكسيد الكربون.
والجدير بالذكر .. أن قفص الإنسان الصدري يتكون من 24 ضلع، وهذه الأضلاع هي المسؤولة عن حماية القلب والرئتين.
وكل ما ذكرنا من أعضاء الجهاز التنفسي والآلية التي تكون عليها عملية التنفس بنجاح، تحدث كلها في داخل تجويف الصدر ونظرًا لأهميته لابد وأن نتعرف على كل ما يخصه من معلومات، وما يقدمه لجسم الإنسان من فوائد.
ما هو تجويف الصدر – Thoracic cavity
يُطلق عليه علميًا أيضًا اسم جوف الصدر، وهو تجويف موجود لدى بعض الحيوانات إلى جانب الإنسان، ويضم الكثير من الاعضاء الخاصة بالأجهزة المختلفة الهامة في جسم الإنسان، فنجد على سبيل المثال:-
أ – أعضاء الجهاز التنفسي التي توجد في تجويف الصدر
- الرئتين.
- القصبات.
- الرغامي.
ب – أعضاء جهاز الدوران التي توجد في تجويف الصدر وتشمل
- القلب.
- أوعية دموية كبيرة مثل (جزء أول من الشريان الأبهر – جذع رئوي – وريدان أجوفات – وريد فرد – أوردة رئوية – قوس أبهر).
جـ – أعضاء جهاز الإنسان الهضمي التي توجد في منطقة جوف الصدر
- الغدة الزعترية.
- المريء.
د – أعضاء الجهاز العصبي التي توجد في جوف الصدر
- العصبين المبهمين
- جذعين وديين.
- القناة الصدرية.
ويوجد في تجويف الصدر تجاويف ثلاثة كلها مبطنة، وتشمل هذه التجاويف:-
- جوفين الجنب.
- جوف التامور.
ويقوم الحجاب الحاجز بفصل جوف البطن عن جوف الصدر، ويُعد المدخل الصدري هو حد جوف الصدر العلوي.
ننصح أيضًا بقراءة: عمليات القلب المفتوح : اسبابها وأنواعها وكيفية اجرائها
د – الدور الذي يقوم به تجويف الصدر
من كل ما سبق ذكره عن ما يحتوي عليه تجويف الصدر من أعضاء تخص أهم الأجهزة التي توجد في جسم الإنسان، يتبين لنا:-
- أن وظيفة جوف الصدر هي حماية الرئتين والقلب.
- يوفر الدرع الواقي للحجاب الحاجز نظرًا لطبيعته المقببة.
- يقدم الحماية الكافية للأحشاء الموجودة في البطن، حيث أن السواد الأعظم من الكتل الكبدية توجد تحت قبة الحجاب الحاجز اليمنى، وناحية اليسار يوجد الطحال والمعدة.
- يحافظ على القطب العلوي للكُلى الواقع أسفل الحجاب الحاجز، حيث نجد أن الكُلى اليسرى تقع تحت الضلع الحادي عشر والثاني عشر.
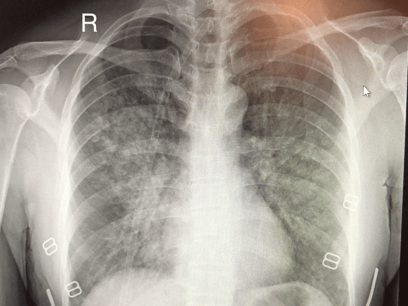
ما المقصود بـ ماء الرئة ؟

ماء الرئة أو الوذمة الرئوية – Pulmonary Edema ( تراكم السوائل في تجويف الرئة ) هي حالة تُصيب الرئة بتراكم غير مألوف أو طبيعي للسوائل بالرئتين، ونتيجة هذا التراكم يشعر المرء بضيق في تنفسه والعديد من الأعراض المزعجة، وسوف نتناول بشيء من التفصيل كل ما يخص هذا الموضوع.
أنواع ماء الرئة
هناك نوعين من الوذمة الرئوية التي من الممكن أن تُصيب الإنسان، وهم:-
أ – وذمة رئوية ذات ارتفاع عالي أو منخفض .. وفيها يُصاب الإنسان بماء الرئة، نتيجة التعرض لمرتفعات عالية جدًا، أو تعرض إلى وجوده تحت أعماق كبيرة من الماء.
ويشعر الإنسان في هذه الحالة ببعض الأعراض المصاحبة لها، وهي:-
- عدم المقدرة على المشي.
- الإصابة بصداع شديد.
- سعال شديد.
- الإصابة بحمى.
- الشعور باختناق بدون بذل مجهود.
- زيادة ضربات القلب.
ب – تراكم السوائل في تجويف الرئة على المدى البعيد .. وهو يحدث للعديد من الناس ويكون له أسباب عديدة، ومن أهم أعراضه التي تظهر على الإنسان:-
- صوت صفير واضح أثناء التنفس.
- شعور بتعب ووهن من أقل حركة.
- صعوبة في التنفس.
- الشعور باختناق أثناء النوم يزول بعد وقوف الشخص.
- إصابة جزء سفلي بتورم.
- زيادة وزن القدم، فتبدو أكبر حجم.
ولكن ما هي أهم أسباب الإصابة بـ ماء الرئة
أهم أسباب الإصابة بـ ماء الرئة المتعلقة بمشاكل في القلب
تتلخص هذه الأسباب في ما يلي:-
- اعتبر العلماء أن سبب الإصابة بماء الرئة الأساسي، هو إصابة القلب بالفشل الاحتقاني – Congestive Heart Failure، وهي حالة لا يقوم فيها القلب بضخ ما يكفي من كميات ماء تناسب احتياجات الجسم، وهذا الفشل يتسبب في حدوث ضغط في كل وعاء دموي صغير، ومن ثمَّ تترشح السوائل خارجه، وخلال عملية التنفس الطبيعية تستقبل الرئتين الأكسجين من خلال الهواء وتقوم بنقله إلى مجرى الدم، وفي حالة الإصابة بالوذمة الرئوية لا يحدث هذا الأمر، مما يجعل كم الأكسجين منخفض جدًا.
- مشاكل صمامات القلب.
- خفقان القلب سريعًا أو بطء الضربات.
- إصابة عضلة القلب باعتلال
- الإصابة بالنوبات القلبية والأمراض المختلفة والتي تُصيب القلب.
أسباب متنوعة للإصابة بالماء على الرئة ليست لها علاقة بمشاكل القلب
- التعرض للغرق في الماء.
- الفشل الكُلوي.
- الإصابة بالالتهاب الرئوي.
- ضغط الدم المرتفع فجأة.
- الإصابة بالتهاب رئوي.
- إصابة البنكرياس بالتهاب.
- تعرض الدم للتعفن.
- المخدرات والتدخين.
- إصابة الكبد بـ التشمع Liver cirrhosis.
- تناول بعض الأدوية بجرعات زائدة.
ولكن هل ما ذكرنا من أعراض هو كل ما يظهر على الإنسان؟ أم أن هناك أعراض أخرى؟
أهم أعراض المياه على الرئة التي تظهر على المريض
إن الإنسان المُصاب بـ المياه على الرئة غالبًا ما يعاني من ظهور بعض الأعراض، لذا لابد من سرعة استشارة الطبيب المختص، من أجل التأكد من الإصابة، والأعراض تتمثل في:-
- شعور باختناق مثل الغرق.
- إصدار صوت أزيز عند التنفس – Wheezing.
- برودة في الجسم.
- سعال يصاحبه رغوة.
- شفاه زرقاء.
- خفقان قلب.
- زيادة وزن ملحوظة.
ما هي مضاعفات ماء الرئة؟
هناك عدة مضاعفات تصاحب الإصابة بـ ماء الرئة، خاصًة إذا لم يتم بدء العلاج فور اكتشاف الإصابة، وبصفة عامة تتوقف حدة المضاعفات على الحالة الصحية التي وصل إليها المريض، ومن أهم هذه المضاعفات:-
- انكماش حجم الرئة بسبب تراكم السوائل داخلها.
- التعرض للإصابة بالميكروبات والبكتريا نتيجة وجود ماء متجمع في الرئة.
- خطورة إصابة الدم بالتسمم.
- اضطراب أداء الدورة الدموية في الجسم.
- التعرض لحدوث هبوط القلب.
كيف يتم علاج ماء الرئة وهل يتحقق الشفاء
إنّ الشفاء بيد الله تعالى، ثم يتوقف على سرعة الذهاب إلى الطبيب وعمل الفحوصات اللازمة، ثم اتخاذ التدابير العلاجية، وفي الغالب تسير خطة العلاج على النحو التالي:-
أولاً – عمل الفحوصات الطبية
والتي تتمثل في:-
- عمل فحوصات دم كاملة على وظائف الكُلى والكبد، بالإضافة إلى صورة دم كاملة.
- أشعة متخصصة على الصدر.
- عمل موجات صوتية للقلب.
- عمل أشعة مقطعية لمعرفة سبب تجمع الماء على الرئة.
- قد يضطر الطبيب إلى سحب عينة من الماء بواسطة أشعة الموجات الصوتية لفحصها معمليًا.
- تنظير صدري من أجل الحصول على عينة من تجمع السوائل في الغشاء البلوري.
ثانيًا – تدابير علاج ماء الرئة
- تحديد السبب الرئيسي الذي أدى إلى الإصابة بماء الرئة.
- يتم سحب السوائل بالطريقة الاعتيادية.
- ربما يتم سحب العينة باستخدام أنبوب، حتى يتم سحبه بالكامل.
- حقن المريض بمواد مخصصة لمنع تجمع السوائل مرة ثانية.
- تناول المدرات للبول.
- إن كان السبب اعتلال في عضلة القلب، يتم علاج هذا الاعتلال فورًا.
وهنا لابد وان نعرف ما هي الأسباب التي تؤدي إلى تجمع السوائل في الغشاء البلوري.
الأسباب المختلفة التي تؤدي إلى تجمع السوائل في الغشاء البلوري
غشاء الجنب أو الغشاء البلوري هو الكيس الذي يغطي الرئة ويحيط بها، وله الكثير من الأهمية، ويحدث فيه تغيرات سالبة وموجبة بالضغط الخاص به، فينتج عنها عملية الشهيق والزفير، ويمنع احتكاك الرئتين ببعضهم البعض، بسبب وجود سائل يقوم بتسهيل كل هذا.
لكن هناك بعض الأمراض التي من الممكن ان تُصيب هذا الغشاء، وينتج عنها ظهور أعراض في التنفس.
أولاً – الإصابة بأمراض المناعة
هناك بعض الأمراض المناعية التي تتسبب في تجمع سوائل في الغشاء البلوري، وأكثرها شيوعًا الروماتويد والذئبة الحمراء وأمراض وظائف الكُلى.
ثانيًا – إصابة القلب بالفشل
قد تُصاب الأوردة باحتقان وكذلك القنوات الليمفاوية، مما يجعل هناك صعوبة في تصريف السوائل، وهذا يؤدي إلى تجمع سوائل في غشاء الجنب.
ثالثًا – الإصابة بجلطة في الرئة
أول بداية هذا النوع من الجلطات يبدأ في أوردة الفخذ والساق العميقة، وهناك جزء من هذا النوع من الممكن أن يرحل بمنتهى السهولة بالجهاز الدموي الوريدي، ويصل إلى جهة القلب اليمنى ومنها ينتقل إلى الدم، وتظهر على الجسم تغيرات كثيرة، منها تجمع السوائل في الغشاء البلوري، وفي الغالب يعالج الطبيب الجلطة للتخلص من المشكلة.
رابعًا – إصابة الرئة بفيروس وبكتيريا
وهو داء معروف باسم ذات الرئة أو نيومونيا، وهو عبارة عن إصابة الحويصلات الموجودة بالغشاء البلوري بالتهاب، لذا تتجمع السوائل به، ومن الممكن أن يظهر خراج وينقل العدوى إلى الغشاء البلوري، ومن هنا تظهر على المريض نفس الأعراض المصاحبة لالتهاب الرئة، ويتم العلاج من خلال سحب السائل.
خامسًا – الإصابة بالأورام
إن الإصابة بالأورام بالغشاء البلوري هي سبب رئيسي في تجمع سوائل داخل الغشاء البلوري، ولكنها نادرًا ما تحدث، لكن الشائع هو انتقال ورم موجود في الثدي أو المبايض أو القولون، إلى الغشاء البلوري ومن هنا تتجمع السوائل به.
أسباب الماء في الرئة عند حديثي الولادة
يحيط بالجنين السائل الأمنيوسي وهو هام جدًا له، فهو الحماية له من الإصابات وكذلك الاستقرار بدرجة حرارته في الرحم، وهو المسئول عن تطور الرئة والعظام، ومن الصحي والطبيعي أن تمتلأ رئة الجنين بهذا السائل خلال الحمل، وفي لحظة الولادة يفرز جسم الجنين بعض المواد الكيميائية حتى يتخلص من السائل الأمنيوسي.
وبالضغط على قناة الولادة وصدر الطفل يخرج سائل من رئة الجنين، وبعد ولادة الطفل يساعده السعال في التخلص على ما تبقى من سائل.
لكن هناك حالات لا يتخلص المولود بشكل كلي من السائل الأمنيوسي، وتتسبب هذه البقية في عدم تنفس الرضيع بشكل طبيعي، وهنا تحدث حالة الماء في الرئة عند حديثي الولادة ، ورغم الأعراض المُقلقة تختفي بعد أيام ثلاثة، بعد تزويد الرضيع بالأكسجين واتخاذ كافة التدابير العلاجية.
طرق الوقاية من الماء على الرئة
تكمن الوقاية من الإصابة بالماء على الرئة، من خلال:-
- عمل الفحوصات الطبية الدورية، لإكتشاف أي أمراض قد تؤدي إلى ماء الرئة.
- الابتعاد عن أماكن المُدخنين.
- الإقلاع عن التدخين.
- ملاحظة ظهور أي أعراض غير طبيعية، واستشارة الطبيب.
- تجنب كافة مسببات الإصابة السابق ذكرها.








